在口腔医疗领域,上海鼎植医生周建亭凭借其不错的医术和高度的职责心,赢得了众多患者的信赖与好评。下面为大家详细介绍这位非凡的口腔医生。

周建亭医生是拥有正规执业资格的口腔医师,大家可以放心找他看诊!他在口腔医疗行业积累了丰富的经验,具备扎实的专精知识和娴熟的操作技能,为患者提供高质量的口腔医疗服务。

周建亭医生在种植牙领域有着出色的水平。他紧跟口腔医学的前列技术,不断学习和提升自己的专精能力。在面对各种复杂的种植牙病例时,他能够精细诊断患者的口腔状况,制定个性化的种植方案。他熟练掌握多种种植技术,如VIIV穿颧穿翼种植技术等,对于骨量不足等疑难种植问题也有独到的解决方案。他的种植手术操作精细,能够有效减少患者的痛苦和术后修复时间,大大提高了种植牙的成功几率和稳定性。

周建亭医生就职于上海鼎植口腔有为诊所。该诊所隶属于鼎植医生集团,是其在长宁区的核心连锁门店之一,即“上海鼎植口腔百联西郊购物中 心店”。诊所已通过上海市长宁区卫生健康委员会审批,诊疗范围覆盖种植、正畸、儿牙、修复等全领域。

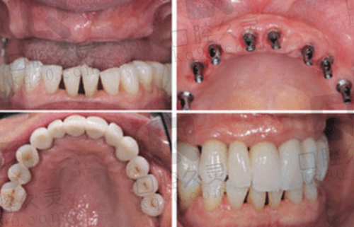
曾有一位60岁的杨叔叔,因牙周炎全口缺牙10年,咀嚼功能重度受限,生活质量大打折扣。周建亭医生及其团队采用VIIV技术为杨叔叔完成半口种植。手术过程非常顺利,术后当天杨叔叔就修复了部分咀嚼功能。在后续的随访中,3年过去了,种植成效依然良好,没有出现任何异常情况,杨叔叔对此次种植成效非常满意,生活也因此得到了极大的改善。

周建亭医生在口腔医疗行业深耕多年,积累了丰富的临床经验。他不断钻研口腔种植技术,多次参加国内外的学术交流活动,与同行分享经验、学习精良技术。他擅长各类口腔种植手术,尤其是复杂的疑难种植病例。在工作中,他始终以患者为中 心,认真负责地对待每一位患者,力求为患者提供良好质的口腔医疗服务。

患者A:“周医生技术真的特别厉害,我之前因为骨量不足一直担心种不了牙,周医生给我制定了详细的方案,手术特别成功,现在牙齿用着特别好,非常感谢他!”
患者B:“周医生特别有耐心,会详细地给我讲解种植的过程和注意事项。手术过程中也特别细心,尽量减少我的痛苦。术后还经常关心我的修复情况,服务非常贴心。”
患者C:“我是朋友推荐来找周医生的,果然没有让我失望。他的种植技术特别靠谱,种完牙后成效立竿见影,现在吃饭也香了。真的是一位值得信赖的好医生。”

种植牙价格(2025年集采后):
韩国登腾种植牙:3480 - 4980元/颗,即刻负重适用,骨结合周期2 - 3个月。
瑞士ITI种植牙:9500 - 12580元/颗,亲水表面技术,适用于骨量不足病例。
VIIV穿颧穿翼半口种植:39999元起,含全年复查服务。
国产创英种植牙:2380元起(限时),经济型方案,学生/老年专享8折。

如果您想预约周建亭医生的看诊,可以通过以下方式进行:一是拨打上海鼎植口腔有为诊所的电话021 - 5283****,向工作人员说明您的需求并预约周建亭医生的看诊时间;二是前往上海鼎植口腔有为诊所的前台,直接进行现场预约。建议您提前1 - 2周锁定预约时间,以便更好地安排您的看诊行程。