当前位置:口腔久灵 > 医院项目 > 成都友谊整形地包天矫正手术45000元起,赵延峰等华西名医打造和谐美观面部轮廓
成都友谊整形地包天矫正手术45000元起,赵延峰等华西名医打造和谐美观面部轮廓

成都友谊整形地包天矫正手术45000元起,赵延峰等华西名医打造和谐美观面部轮廓

优惠价¥45000 原价55000元
编辑:晓看天色
更新时间:2025-09-02 10:55:51
阅读:

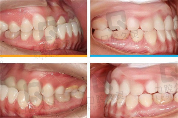
在追求美丽与自信的道路上,面部的和谐与美观至关重要。地包天问题不仅影响面部轮廓,还可能对口腔功能和心理健康造成一定的影响。成都友谊整形推出的地包天矫正手术,以其合理的价格和专精的技术,成为众多患者的理想选择。下面就为大家详细介绍一下成都友谊整形地包天矫正手术。

成都友谊整形地包天矫正手术价格是多少?

成都友谊整形地包天矫正手术价格为45000元起。不过需要注意的是,这个价格仅供参考,实际的费用会因个人的具体情况而有所不同。例如患者的年龄、地包天的重度程度、手术的复杂程度等都会影响更终的价格。如果是青少年患者,骨骼发育尚未完全定型,手术难度相对较低,费用可能会接近基础价格;而成年人骨骼已经定型,手术调整更为复杂,费用可能会有所增加。

成都友谊整形地包天矫正手术的技术优势有哪些?

丰富的临床经验:成都友谊整形在颌面整形领域有着丰富的经验和技术。医院已经成功开展了多例地包天矫正手术,对于各种复杂的地包天情况都能制定出个性化的治疗方案。

专精的医生团队:院内拥有华 西口腔颌面外科医生坐诊,像李继华医生、赵延峰医生等都是颌面整形领域的大拿。他们技术娴熟,审美理念在线,能够精细地把握手术的每一个环节,确保手术的安心和成效。

精良的设备和技术:医院引进了精良的口腔检查和手术设备,能够对患者的口腔情况进行严谨的诊断和分析。在手术过程中,采用精良的正颌技术,减少手术创伤,缩短修复时间。

个性化的治疗方案:每个患者的地包天情况都不尽相同,成都友谊整形会根据患者的具体情况,如牙齿排列、颌骨形态、面部比例等,制定出更适合患者的治疗方案,以达到至佳的矫正成效。

成都友谊整形地包天矫正手术的流程是怎样的?

术前检查和评估:患者首先需要进行全方面的口腔检查,包括X光片、CT扫描等,以确定地包天的类型和重度程度。医生还会对患者的面部轮廓、咬合功能等进行评估,制定个性化的治疗方案。

沟通和方案确定:医生会与患者进行充分的沟通,了解患者的需求和期望,向患者详细介绍手术的过程、风险和注意事项。在患者同意后,确定更终的治疗方案。

手术治疗:在手术过程中,医生会根据制定的方案对颌骨进行调整,以改善牙齿的咬合关系和面部轮廓。手术通常需要在全身麻醉下进行,手术时间根据具体情况而定。

术后修复和护理:手术后患者需要住院观察一段时间,医生会给予相应的护理和治疗。患者需要遵循医生的建议,注意口腔卫生,避免食用实力强的食物,按时服药和复诊。

成都友谊整形地包天矫正手术的成效如何?

通过成都友谊整形的地包天矫正手术,患者的牙齿咬合关系可以得到明显的改善,口腔功能也会修复正常。同时,面部轮廓会变得更加和谐美观,提升患者的自信心和整体形象。许多患者在手术后都对成效非常满意,不仅解决了地包天带来的困扰,还获得了更加美丽的面容。

选择成都友谊整形进行地包天矫正手术有什么保护?

正规的医疗机构:成都友谊整形是一家正规的医美机构,拥有专精的医疗资质和完善的医疗设施,能够为患者提供安心、可靠的医疗服务。

优质的服务体验:医院注重患者的服务体验,从术前的询问到术后的回访,都会为患者提供贴心的服务。24小时专精医美客服在线,随时为患者解答疑问。

良好的口碑和信誉:成都友谊整形在当地拥有良好的口碑和信誉,许多患者都是通过朋友推荐前来就诊的。医院以其专精的技术和优质的服务赢得了患者的信任和认可。

总之,成都友谊整形地包天矫正手术以其合理的价格、专精的技术和优质的服务,为广大地包天患者带来了福音。如果你也有地包天的困扰,不妨选择成都友谊整形,开启你的美丽蜕变之旅。

医美
* 总体评价:
* 内容 (必填,800字以内)
还能输入800
陈赫
陈赫
医院:南京医科大学友谊整形外科医院
医生职称:主治医师
擅长项目:眼部整形、面部轮廓、胸部整形、身体塑性
陈伟瀚
陈伟瀚
医院:苏州柏达丽医疗美容门诊部
医生职称:技术院长
擅长项目:鼻部整形、面部轮廓
Copyright © 2022 口腔久灵. All rights reserved.