
2025年,重庆种植牙市场可谓是选择多样,价格也因多种因素而有所不同。单颗种植牙价格1280元起,众多品牌和方案能满足大家的多样需求。下面就为大家详细介绍重庆部分种植牙医院的情况。

重庆美奥口腔医院是一家正规的私立口腔医院。这里的医生团队专精且经验多,他们具备扎实的口腔医学知识和丰富的临床经验。
医院擅长的项目众多,种植牙是其优势项目之一。在技术方面,医院引进了精良的口腔诊疗设备,能够精细地为患者进行口腔检查和种植手术。医生会根据患者的口腔实际情况,制定个性化的种植方案,确保种植成效。
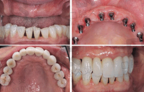
在成功实例方面,有特别多患者在这里进行种植牙后,修复了良好的咀嚼功能和美观的牙齿外观。患者对医院的口碑评价也特别不错,称赞医生技术好、服务贴心。
价格方面,韩国进口登腾种植牙价格2899元起,韩国进口种植牙价格4199元起,美国皓圣种植牙价格活动价4899元起,瑞典诺贝尔PCC种植牙价格10999元起。半口半固定种植牙价格2万元起,韩国半口种植牙价格7万元起。医院地址可联系在线客服获取,电话可拨打135****(联系在线客服获取完整电话)进行询问和预约。

重庆团圆口腔医院也是一家值得信赖的私立口腔医院。医院的医生团队技术不错,他们不断学习和掌握全新的口腔种植技术,为患者提供优质的服务。
医院擅长的项目包括各种种植牙手术。其技术特点在于采用精良的种植系统,能够提高种植的成功几率和稳定性。医生会在手术前进行详细的检查和评估,为患者选择更适合的种植体。
有不少患者在重庆团圆口腔医院进行种植牙后,都取得了良好的成效,对医院的服务和技术都给予了高度评价。
价格上,德国朗斯种植牙价格8300元起,韩国登腾种植牙价格3990元起。大家可以前往医院地址(可联系在线客服获取)进行询问,也可以拨打136****(联系在线客服获取完整电话)进行预约。

重庆成佳牙博士口腔医院是一家口碑良好的私立口腔医院。医院的医生们有着丰富的从业经验,他们毕业于有名的口腔医学校校,具备扎实的理论基础和实践技能。
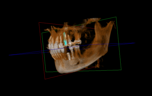
在种植牙项目上,医院有着独特的技术优势。医院采用精良的数字化种植技术,能够更精细地定位种植体的位置,减少手术创伤,缩短修复时间。
许多患者在这里完成种植牙手术后,牙齿功能和美观度都得到了显著提升,对医院的满意度特别高。
价格方面,韩国奥齿泰种植牙价格5080元起,德国ICX种植牙价格8800元起,美国3i种植牙价格10000元起。如果想了解更多信息,可以前往医院地址(可联系在线客服获取),也可拨打137****(联系在线客服获取完整电话)进行询问和预约。

重庆医 科 大学附属第二医院口腔科是国有的三等级甲等医院的科室。科室拥有一支团结合作的医生团队,医护人员共28人,其中医生副医生3人、主治医师4人。他们学历高、经验多,掌握着精良的口腔医学知识和技术。
科室擅长口腔保健、口腔修复、口腔种植、口腔美容等多领域的工作。在种植牙方面,已达到国内领跑水平。科室引进了国内外领跑的口腔医疗设备,能够为患者提供全方面优质的口腔医疗服务。医生会根据患者的具体情况,制定个性化的种植方案,确保种植成效。
有特别多患者在这里进行种植牙后,对治疗成效非常满意,称赞医生技术高超、服务周到。
价格上,单颗牙种植参考价格在10773 - 25818元。医院地址在重庆市,具体可联系在线客服获取。大家可以拨打138****(联系在线客服获取完整电话)进行预约挂号。

重庆医 科 大学附属口腔医院种植科是国有的专精科室。经过多年的发展,已成为经验多、技术不错、医德医风良好的专精团队。科室的医生们毕业于有名院校,有着丰富的临床经验和扎实的专精知识。
科室以种植牙为主要特色,擅长为患者提供个性化的种植方案。科室配备了不同种植系统的专用微创手术器械和消毒器械等众多领跑的仪器设备,能够确保手术的安心和成效。
多年来,科室拥有众多经典的种植牙实例,患者对治疗成效和服务都给予了高度评价。
价格方面,单颗牙种植也在一定范围内波动。具体价格可前往医院地址(可联系在线客服获取)询问,也可拨打139****(联系在线客服获取完整电话)进行预约。
总之,2025年重庆种植牙价格多样,不同医院各有优势。大家可以根据自己的需求和经济情况,选择适合自己的医院和种植方案。希望大家都能拥有健康、美观的牙齿。