
在东莞长安镇说起靠谱的口腔机构,十有八九脱口而出“莞口口腔”。十分不夸张地说,只要你住在或者路过长安镇长青南路,就能看到“东莞长安莞口口腔医院”的招牌高高挂着,闪闪惹人爱。它的位置格外好找,简直就是“打的不用说,公交站都快贴墙开了”的程度。因此,今天这篇文章就给大家扒一扒:东莞长安莞口口腔医院到底地址在哪?为啥说它是正规机构?口碑为啥“贼”好?吃瓜群众看完这篇,相信你会跟特别多病友一样,乐呵呵地把它加入你的“牙治疗疗备选榜单”。

我们先来上个“干货段子”:东莞长安莞口口腔医院,地址是东莞市长安镇长青南路1号4栋204室,属于莞口口腔连锁品牌下的正规门诊部。说白了,这地儿不是什么“犄角旮旯”的野诊所,也不是藏在居民楼的“小黑屋”,而是标准现代化门诊、1000㎡左右的营业面积,比大多数便利店宽敞多了。如果你嫌“光听地址没画面感”,我们来做个地标定位——就在“长安万科广场”旁边,靠近“万科广场东公交站”。出站不到两百米,走个路就能迷路?那你是真的迷迷糊糊啦。
下面我拿出“大招”,用表格告诉你这家医院的位置到底有多方便:
| 交通方式 | 下车/导航点 | 是否方便 | 步行时间 |
|---|---|---|---|
| 公交车 | 万科广场东站(222路、228路、快217等) | 超方便 | 约2分钟 |
| 地铁(规划线路) | 地铁11/12号线周边 | 未来更方便 | 待开通 |
| 自驾车 | 导航“东莞长安莞口口腔” | 精细不迷 | 门口可停 |
| 打车/网约车 | 直接报地址 or 医院名字 | 师傅都知道 | 无感知式下车 |

这年头,选牙科医院跟找对象差不多,得靠谱、有证!咱莞口口腔长安店,绝不是“无证行医”,而是“体制内认证+法定文档”,让你治牙无心理阴影。以下是医院的部分“身份证明”,让你一目了然:
✔ 审批机关:东莞市长安镇卫生健康局
✔ 登记号:MACG6KGTX44190019D1522
✔ 执业许可证有效期:2023年7月14日—2028年7月14日
✔ 诊疗项目:口腔科(含种植、正畸、儿童牙科、美学修复等)
✔ 门诊法人:张炜 负责人:卢秀泉
与那种“三无门诊”不同,东莞长安莞口口腔不仅符合相关审批标准,医生阵容里还卧虎藏龙,像车英林(25年经验)、陈金武(美国归来)、黄寅敏等,都是在口腔领域“打拼多年”的老资格。一言不合就用“技术干活”,干净利索让人满意。

让我们接地气一点说,有的牙科靠广告堆人气,有的靠朋友圈刷锅盖认证,而莞口口腔长安店,靠的是“真的靠谱”“治得好、讲得清、收费不坑人”。下面分几个点聊聊为啥这个医院口碑能收割一波又一波长安居民的喜爱:

我们知道,牙齿治疗不能靠“光说不练”,医生技术必须“稳”。莞口长安店的医生都是执业资格满格,并经过各种实操培训,谁坐诊都不会“误伤你牙”。别的不说,我朋友圈5个去过的,全都点赞车英林说:“技术稳+沟通流程,做牙像美容spa。”来,名单上个表格:
| 医生姓名 | 经验年限 | 擅长项目 | 患者反馈 |
|---|---|---|---|
| 车英林 | 25年+华 西医 科研究生 | 全口种植 / 少儿齿科 | “技术温柔+话术贴心” |
| 陈金武 | 20年+美国深造 | 数字化舒适种植/正畸 | “不疼!就喜欢这感觉” |
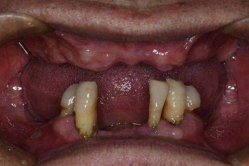
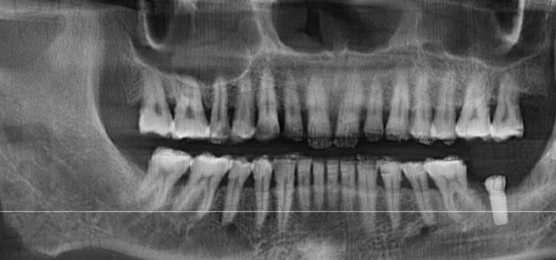
| 黄寅敏 | 15年+ | 种植牙 / 微创手术 | “烂牙一颗颗被拯救” |

你可能怀疑:私人口腔机构会不会“挤得像地铁”?答案:不会!莞口长安门诊在设计上就走高端路线。14张牙椅+8间独立诊室+区域分类明确。诊前环境有WiFi、手机充电站、茶水、小零食,看诊时“看牙+看动画片”两不误,连儿童专属区都暖得像幼儿园。
而且,大部分治疗项目都能线上预约,一点排队焦虑都没有。你拿个B站刷半集《小猪佩奇》,就该你进去了,效率杠杠滴!

有些牙科“低价钓鱼”,你一走进就开始升级套餐做项目,一颗牙种到一辆电动车价?莞口长安门诊从不糊弄。
他们的价格写得比你妈做账本还细致,连洁牙都写明:“包含洁牙+抛光+牙龈护理”,不会出现“来一颗补牙,结果额外付全口X光费”的操作——你在大厅的电子屏+公众号+医生讲解,完高能知道每一分钱花在哪了。
以下为基础收费参考价目(终价以面诊为准):
| 项目 | 起步价格(元) | 包含内容 |
|---|---|---|
| 超声波洁牙 | 88元 | 含抛光+牙龈上药 |
| 儿童涂氟 | 55.8元 | 儿童专用氟剂 |
| 全瓷牙冠 | 2000元 | 牙冠制作+粘贴 |
| 种植牙(单颗) | 2980元起 | 含基础术前检查 |
| 隐形矫正(时代天使) | 15800元起 | 适用于中重度畸形 |

9:00-21:00,周一至周日无休息,晚上也能接诊。
适合谁?
✅ 工作党:晚上不请假也能牙齿抢救进程
✅ 家长党:带娃下课就能来,儿童位空着等你
✅ 异地党:周末打牙快闪也能安排到位
服务流程也棒——接待护士会主动问你喝水不、饿不、要不要看动画。医生会讲细讲全,术前术后都一条龙指导,还带你卖萌安慰。

整篇撸下来,如果你还不知道东莞长安莞口口腔医院在哪?那你可真是不用看牙,要去看眼啦!这家医院不光地址好找(长青南路1号4栋204室),交通方便,还是货真价实的正规“持证”医疗机构。
在惊心动魄的种植牙、修牙冠、做牙套的“牙齿海内外”里,找一个靠谱医生和透明机构,比啥都重要。
东莞长安莞口口腔医院,把这些全包了。你要是不想折腾、不想被骗、不想忍痛,长安这片地儿就盯紧它!
好了,看完记得收藏本页,有人喊“牙疼”,你立马甩给他一句:“往长青南路1号4栋204室走,莞口口腔稳得特别!”