
北京的叔叔阿姨们注意啦!如果你最近开始觉得啃花生不那么轻松了、早晨刷牙的时候牙齿松松垮垮的,甚至嘴巴里漏风、戴假牙老是飘移,那特别可能是时候找一家靠谱的口腔医院“拯救”你的第三副牙了!在众多口腔医院里,不少中老年朋友点名推荐——北京美冠塔口腔医院。今天,咱就对这家专为“银发一族”量身定制的口腔专科医院来一次全方面大起底!本篇超详细内容包括:美冠塔都开在哪儿?种牙镶牙都多少钱?哪些是主打项目?医生咋样?怎么挂号?价格贵不贵?官网说啥、网友又怎么说?通通告诉你!看完这篇文章,确保你比导医还专精。

美冠塔口腔不是街边小诊所,它可是正规三有机构——有医生、有门店、有执照。医院自03年成立以来,一直专注于中老年口腔健康领域,主打项目就挺接地气:种植牙、假牙镶复、松牙固定,这可不就是爸妈嘴里“不会老虎吃人”的救命服务嘛!
发展至今,北京美冠塔已经开出了超6家分院,分布在朝阳、海淀、潘家园等核心地段,方便老年人就近看牙。医院环境那是一个亮堂,牙科椅子软得跟按摩椅一样,连候诊区都贴心提供老花镜、血压仪,妥妥为老年人考虑到家。

怕堵车?怕路远?北京美冠塔在北京遍布6+家分院,总有一家离你不远!
| 分院名称 | 地址 | 交通方式 | 营业时间 |
|---|---|---|---|
| 公主坟分院 | 海淀区复兴路21号海育大厦9层 | 地铁1号/10号线 公主坟站B口出 步行230米 | 08:30-17:00/每天 |
| 潘家园分院 | 朝阳区农光南里甲6号楼 | 地铁10号线潘家园站 A口出,步行5分钟 | 08:00-17:00,周三下午休 |
| 酒仙桥分院 | 朝阳区酒仙桥甲11号零秒社区首层 | 地铁14号线将台站A口出,步行660米 | 08:30-17:30,夜诊至19:00 |
| 慈云寺分院 | 朝阳路住邦2000商务中 心东配楼3层 | 地铁1号线四惠站E口出1公里 | 09:00-18:00 |
| 老国展分院 | 朝阳区静安东里国门大厦B座1层 | 公交方庄桥东站/10号线十里河 | 08:00-17:00 |
| 安华桥分院 | 朝阳区北三环中路博纳德大厦2楼 | 8号线安华桥站C2出 步行330米 | 08:00-17:00 |

关于“贵不贵”的灵魂提问,直接上价格表才靠谱,说白了,美冠塔属于“价格比私立便宜、技术比社区牙科强”的类型。更基础的项目几十大洋拿得下,种植牙属于中高价位,不过根据牙材和技术,有不同等级选择,不用强制推销,价格透明写在前台,拒绝“套娃式报价”。
| 项目 | 价格(起步) | 适用情况 |
|---|---|---|
| 洁牙 | 54元 | 日常清洁,牙结石重灾区适用 |
| 补牙(树脂补) | 87元起 | 小龋齿、突破口腔“黑洞” |
| 拔牙 | 64元起 | 松动牙/残根,愉快告别 |
| 松动牙固定术 | 6800元/颗起 | II-III度松动牙,无需拔除 |
| 无挂钩吸附义齿 | 9800元/半口 | 拯救“广场舞假牙飞出”的窘境 |
| 韩国登腾种植牙 | 4080元/颗起 | 经济实用型,适合中端修复 |
| 瑞士ITI种植牙 | 12800元/颗起 | 前牙美学优选 |
| 瑞典诺贝尔种植牙 | 19790元/颗 | 骨量不足、咬合力需求高者 |

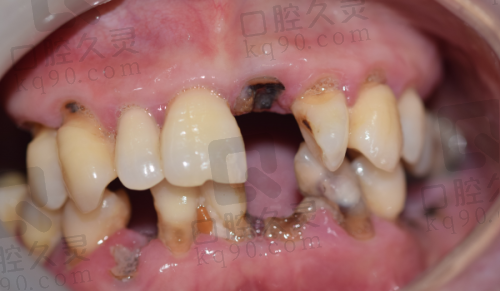
美冠塔绝不是普通牙科门诊,它主打中老年偏门牙题:什么松动牙、残根、全口无牙,这些放别处都“直接拔牙+种植”,在美冠塔,有可能保住原牙!
口腔“黑科技”如下——
1. 松动牙固定术:不要轻易拔!医生用仿生牙周膜把牙“绑回”牙槽骨,啃玉米嘎嘣脆不是梦。
2. 吸附式无挂钩假牙:传统假牙有“铁钩”,美冠塔用吸附义齿贴在牙龈上,说话跳舞都不会掉。
3. 数字化即刻种植:上午拔牙,下午上牙!高龄也能种牙没问题,导航定位大大减轻术后反应。

中老年人更怕什么?看牙被宰、沟通不畅、医生不负责。
美冠塔的医生不少是老“口腔兵”,不少医生20年以上经验,既懂技术,又能哄得大爷大妈满意。他们主攻方向都和中老年疗程有关,高血压患者、糖尿病患者种牙特别顺利,是这类患者的“定心丸”。
@王大叔:十年前种的牙松了,医生给我做了“固定术”,现在牙跟钉牢一样!
@李阿姨:戴了“精密无挂钩假牙”,跳了3次广场舞都没掉,简直神器!

怕排队?怕没位置?那你一定要提前预约!美冠塔挂号系统简单,老年人也能自己搞定。
预约方式如下:
电话预约:拨打各分院热线,例如公主坟010-68529898
官网预约:登陆法定网站,点击“在线挂号”填写基本信息
微信预约:搜索并关注公众号“美冠塔口腔”,在菜单栏选择“预约挂号”
到院预约:可前一天下午或当天早上到现场前台排队挂号

总体说来,北京美冠塔口腔医院不是广告吹的神,而是老百姓验证出来的“真香机构”。
?地址多:六家分院,覆盖主要区域,方便就诊;
?项目齐:假牙、保牙、种牙“一条龙服务”;
?价格稳:明码标价不吭人,会员制还有优惠折扣;
?医生稳:经验20年以上,擅长“把废牙变宝牙”;
?服务细:从挂号到回访,设身处地为老人考虑。
如果你爸妈还在大老远跑医院镶假牙,你还在偷偷关注“中老年种植牙攻略”,那赶紧收藏这篇8000字教程,从预约挂号、筛选院区到价格对比统统安排妥当。而你只需要做的,就是——把爸妈领去美冠塔,看一次像样的牙!