
在西安,想要看牙的朋友常常会纠结于选择哪家口腔医院,而西安莲湖中诺口腔医院就进入了特别多人的视野。大家心里可能都有个疑问:西安莲湖中诺口腔医院是三等甲吗还是二甲?今天咱们就来好好唠唠这家医院,看看它到底怎么样。
特别多人在选择医院的时候,都会特别看重 医院的等级,像三等甲医院就常常被认为是医疗水平的保护。那西安莲湖中诺口腔医院是不是三等甲呢?其实,它是一家二级口腔专科医院,并不是三等甲医院。不过,这并不影响它在西安口腔领域的口碑。
从审批情况来看,西安莲湖中诺口腔医院是经西安市莲湖区卫生和计划生育局批准设立的,卫健委官网可查登记号 MA5112,执业许可证到 2027 年才到期,这说明它的成立是符合相关规定的,有正规的医院资质。而且,它和北京总院共享质控,独立法人为张义敏,实缴资本 500 万,实力还是挺雄厚的。
虽然没有三等甲的头衔,但医院在硬件设施上一点也不含糊。它有 300㎡的消毒供应室和层流手术室,采用 16 道灭菌流程,还号称“一人一机一诊室”,能较大程度地确保患者的安心和隐私。再加上它是国内连锁机构,在北京、天津、郑州等 20 + 城都有分院,设备和培训都是统一采购的,这也为医院的医疗质量提供了保护。
一家医院好不好,医生的水平至关重要。西安莲湖中诺口腔医院拥有一支经验多、技术不错的医生团队,特别多医生都曾在三等甲医院工作过。这些医生在种植牙、正畸和儿童牙科等多个领域都有着丰富的经验和良好的手术记录。
1. 种植牙骨干医生:在种植牙领域,有几位医生特别厉害。他们擅长使用“立得用”数字化技术,能在当天完成种植并让患者立即佩戴牙冠,大大缩短了治疗时间。比如有的医生已经完成了上千例种植牙手术,患者的满意度非常高。他们会根据患者的口腔情况和身体状况,制定个性化的种植方案,确保种植成效既美观又实用。
2. 正畸骨干医生:正畸方面的医生也毫不逊色。他们精通各种正畸技术,像传统的金属托槽矫正、隐形矫正等都能熟练操作。有一位正畸医生,从业多年,帮助了特别多青少年和成年人解决了牙齿不齐的问题。他会耐心地和患者沟通,根据患者的需求和牙齿情况,选择更适合的矫正方案,而且矫正成效显著,特别多患者的牙齿都变得整齐美观了。
3. 儿童牙科骨干医生:对于儿童牙科,医院也有专门的骨干医生。他们非常有耐心,懂得如何和小朋友沟通,让小朋友在轻松愉快的氛围中接受治疗。比如有的医生擅长治疗儿童龋齿、牙齿发育不良等问题,采用的治疗方法温和有效,深受家长和小朋友的喜爱。
在收费方面,大家更担心的就是遇到隐形收费的情况。而西安莲湖中诺口腔医院一直秉持着公开透明的原则,让患者明明白白消费。
医院提供多种口腔治疗项目的价格标准,包括种植牙、牙齿矫正、洗牙等,每一项都有明确的收费标准。就拿种植牙来说,价格低至 3890 元起,这在西安地区的口腔医院中属于相对较低的价位。而且,所有的治疗费用在患者确认后都会详细告知,不会有任何隐形收费。
为了让患者更加清楚费用情况,医院还会在显眼的位置公示各项治疗的价格,并且有专门的工作人员为患者解答费用问题。患者在选择治疗方案时,可以根据自己的经济情况和需求进行选择,不用担心会被乱收费。这种透明的收费机制让患者能够更加安心地接受治疗,也进一步提高了医院的信誉度。
西安莲湖中诺口腔医院有特别多特色项目,其中种植牙项目更为突出。
1. “立得用”数字化种植牙技术:医院采用的“立得用”数字化技术是种植牙领域的一项精良技术。它通过数字化设备,严谨地测量患者的口腔数据,制定出个性化的种植方案。在手术过程中,医生可以根据这些数据,正确地植入种植体,大大提高了种植的成功几率。而且,这种技术可以在当天完成种植,并让患者立即佩戴牙冠,患者不用长时间等待,就能修复牙齿的功能和美观。
2. 种植牙的后续服务:除了精良的技术,医院在种植牙的后续服务方面也做得非常好。医护人员会全程跟踪服务,确保每位患者在手术后的修复情况良好。他们会不定期地进行回访,关注患者的牙齿修复情况和使用感受,及时为患者解决问题。特别多患者在接受种植牙治疗后,不仅术后修复快,而且口腔功能显著改善,生活质量也得到了提升。
为了让大家更直观地了解西安莲湖中诺口腔医院的实际情况,我们来看看一些患者的真实评价。
1. 种植牙患者实例:李先生是一位种植牙患者,他之前因为牙齿缺失,吃饭都成了问题。在朋友的推荐下,他来到了西安莲湖中诺口腔医院。医生为他制定了详细的种植方案,并采用“立得用”数字化技术为他进行了种植手术。手术非常顺利,当天他就戴上了牙冠,而且没有感觉到明显的疼痛。术后,医护人员经常打电话回访,关心他的修复情况。现在,李先生的牙齿已经完全修复,他可以像以前一样正常吃饭了,他对医院的技术和服务都非常满意。
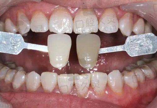
2. 正畸患者实例:张女士是一位正畸患者,她的牙齿比较拥挤,影响了美观。她来到西安莲湖中诺口腔医院后,正畸医生为她推荐了隐形矫正方案。在矫正过程中,医生会定期为她调整牙套,还会耐心地解答她的疑问。经过一段时间的矫正,张女士的牙齿变得整齐了,她的笑容也更加自信了。她觉得医院的医生技术好,服务也贴心,非常感谢医院。
虽然西安莲湖中诺口腔医院不是三等甲医院,但它凭借着正规的资质、非凡的医生团队、透明的收费体系以及高质量的口腔医疗服务,在西安地区赢得了良好的口碑。
医院的医生经验多,技术不错,能够为患者提供个性化的治疗方案;收费公开透明,让患者不用担心隐形收费的问题;特色项目“立得用”数字化种植牙技术更是大大缩短了治疗时间,提高了治疗成效。而且,医院的医护人员服务周到,会全程关注患者的治疗和修复情况,让患者在就医过程中感受到温暖和关怀。
如果你正在寻找一所值得信赖且收费合理的口腔医院来进行种植牙、正畸等口腔治疗,西安莲湖中诺口腔医院无疑是一个不错的选择。它 3890 元起的种植牙价格,也让更多的人能够享受到高品质的口腔医疗服务。希望大家在看牙的时候,都能选到适合自己的医院,拥有健康美丽的牙齿。