
在珠海,如果您正为牙齿缺失问题烦恼,那珠海九龙口腔医院或许是个不错的选择。2025年,该医院公开了种牙价格,单颗低至1960元起,半口36000元起,而且还有多项贴心优势。接下来,咱们就详细了解下珠海九龙口腔医院种牙价格表以及种牙的各方面情况。

珠海九龙口腔医院种牙价格表涵盖了单颗、半口、全口等不同种植需求,并且根据不同的种植系统、牙冠材质和手术难度进行了分档,价格明确透明,杜绝隐形消费。
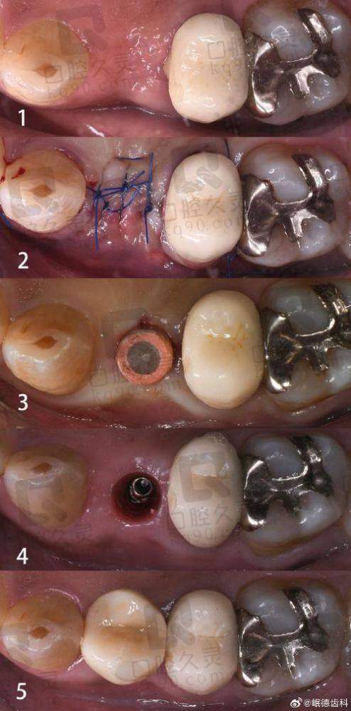
1. 单颗种植牙价格
基础种植系统:1960元起/颗。这个价位适合牙床骨量良好、缺牙位置不复杂的患者。比如一些年轻人,因为意外导致单颗牙齿缺失,牙床条件较好,选择基础种植系统就比较合适。
标准型套餐:3680 - 4980元/颗。该套餐涵盖中端种植品牌和普通全瓷冠,适合追求品质性的患者。像对牙齿美观和使用性能有一定要求的上班族,标准型套餐就能满足他们的需求。
高端系统方案:6000 - 12000元/颗。采用高性能种植体和精良即刻修复技术,适合高要求人群。例如商务人士,他们对牙齿的美观和功能要求极高,高端系统方案能为他们提供更好的种牙体验。
不同品牌单颗种植牙价格:韩国进口微创种植牙价格1980元起;瑞典诺贝尔种植牙集采价格7999元起;瑞士iti/士卓曼种植牙集采价格7635元起;美国进口种植牙价格5888元起;登腾种植牙2999元/颗;美国皓圣种植牙4868元起;法国安卓健Anthogyr种植牙9800元起/颗;瑞典Astra种植牙13800元起/颗。
2. 半口种植牙价格
半口种植整体价格从36000元起步。半口半固定种植牙价格18888元起;韩国半口种植牙价格4万元起;美国半口种植牙价格5万元起;瑞士半口种植牙价格7万元起;半口All - on - 4种植牙6万元起;半口All - on - 6种植牙7万元起;半口即刻负重种植牙5万元起;半口小创口种植牙4万元起。
3. 全口种植牙价格
全口种植牙价格6万元起;韩国全口种植牙价格8万元起;瑞士全口种植牙价格13万元起;全口半固定种植牙4万元起;全口All - on - 4种植牙7万元起;全口All - on - 6种植牙8万元起;全口即刻负重种植牙6万元起;全口小创口种植牙5万元起。

2025年,珠海九龙口腔医院特别组建了一支长期从事种植修复的医师团队,为患者的种牙体验保驾护航。
1. 丰富的临床经验:医院医师大多年资超过十年,在单颗、半口、全口、前牙美学区种植方面积累了丰富的临床经验。他们就像经验多的船长,能在种牙的“海洋”中带领患者顺利到达成功的彼岸。比如在处理一些复杂的全口种植实例时,凭借多年的经验,医生们能够精细地制定种植方案。
2. 国内外交流合作:医生们还多次参与国内外口腔医学研讨会议,与国内外机构保持互动合作。这使得他们能够接触到国内外精良的种牙技术和理念,并将其运用到实际治疗中。例如,在种植体的选择和种植方案的设计上,借鉴国内外精良经验,为患者提供更优质的服务。
3. 个性化种牙方案:在诊疗过程中,医生会依据患者口腔CT数据、牙周状况及骨质评估,规划专属种牙方案。特别是对于牙槽骨骨量不足或患有慢性牙周问题的患者,医生会采取“种植体 + 骨增量”联合策略,提升种牙成功几率及使用寿命。就好比为不同的房子量身定制合适的地基,确保种植体在口腔内稳稳扎根。
4. 持续的技能提升:九龙口腔在培训机制上不断提升,不定期邀请业内口腔医师来院交流进修,鼓励团队在严谨的医疗操作流程中不断提高技能。这种持续学习的精神,让医生们的技术始终保持在前列水平,为患者提供更优质、更安心的种牙服务。

除了价格和医生团队,珠海九龙口腔医院在种牙技术和设备方面也有较大的优势。
1. 精良的种牙技术
穿颧穿翼种植牙:这种技术适用于上颌骨重度骨量不足的患者。传统的种植牙方法在骨量不足的情况下可能无法进行,而穿颧穿翼种植牙技术通过将种植体植入颧骨或翼板,为患者提供了新的种牙选择。不过该技术难度较高,对医生的技术要求也特别高,而珠海九龙口腔医院的医生凭借丰富的经验和专精的技能,能够熟练开展此项技术。
半口、全口all - on - 4种植牙:这种技术只需在半口或全口植入4颗种植体,就能支撑起半口或全口的牙齿,大大减少了种植体的植入数量,缩短了治疗周期,降低了患者的痛苦和费用。对于半口或全口牙齿缺失的患者来说,是一种非常理想的种牙方案。
即刻负重种植牙:部分健康患者在术后当天即可佩戴临时牙冠,避免长时间缺牙带来的尴尬。这一技术的应用,让患者能够更快地修复牙齿的功能和美观,提高了生活质量。
2. 数字化辅助设备:医院引进了一系列数字辅助种植系统,如瑞士ITERO数字扫描仪、CBCT三维影像机、微痛麻醉仪以及即刻加载设备。
CBCT三维影像机:能立体呈现牙槽骨密度、神经位置等关键数据,为定点植入提供科学支撑。就像给医生配备了一双“透视眼”,让他们在手术前就能清晰了解患者口腔的内部情况,制定更精细的种植方案。
数字导板系统:在手术过程中引导植体落点、倾斜角度和深度,缩短手术时间,并减少术后反应。有了数字导板系统,种植手术就像按照导航行驶一样精细,大大提高了手术的成功几率和安心性。
即刻加载设备:有效缩减了治疗周期,让种植牙不再是遥不可及的奢侈项目,而是一项更加便捷、安心的口腔修复服务。

在治疗质量之外,患者体验也是珠海九龙口腔医院非常重视的方面。医院建立起了一整套规范系统的客户服务流程,从初诊预约、口腔建档、治疗方案定制到术后管理,每一个环节都配有专属客服人员协助沟通,确保患者体验更顺畅。
1. 贴心的就诊流程
一医一患单独诊室:保护患者隐私,让患者在就诊过程中更加放松。
温馨的候诊区域:患者在等候的过程中可以休息、饮品自取,甚至还有视频讲解种牙过程,缓解患者的紧张情绪。
2. 完善的术后维护
术后质保机制:对于种植义齿设有一定期限的维护计划,术后半年及一年内,提供定期复诊、洁牙和种植部位检查服务。
及时处理隐患:如果复诊中发现种植体松动、牙龈问题等早期隐患,医生会给予及时处理,确保义齿安心稳定使用更长时间。这种人性化的服务方式,真正解除了患者“种完牙就没人管”的后顾之忧,让整个种牙旅程安心又放心。
总之,珠海九龙口腔医院2025年公开的种牙价格政策,为广大市民提供了更亲民、更有保护的修复选择。单颗1960元起、半口36000元起的方案,降低了就诊门槛,展现出医院为民服务的初心。无论是医生团队的技术能力、精良的设备,还是贴心的客户服务和术后维护,都体现出医院对每一位患者负责的态度。如果您正在为缺牙问题感到困扰,不妨前往珠海九龙口腔医院亲自询问了解一下,相信在这里您能找到适合自己的种植牙方案。