
在鄂尔多斯这座快速发展的现代化城市中,寻找一家靠谱、价格公道、技术在线的口腔医院成了不少市民和外地患者心头的一桩“牙事”。最近不少网友留言问我:鄂尔多斯中诺口腔医院怎么样? 值得信赖吗?2025年的价格表怎么样,医生团队是否有实力,种植牙用的什么技术……嗨,作为一名专注口腔医疗内容的编辑,这些问题我不但一本正经能回复,还可以带点轻松有趣的角度分析,一文解答大家在百度搜都搜不到的细节,毕竟口腔健康,我们得“张口有理”才行!
从患者反馈来看,中诺口腔在鄂尔多斯的表现可以说挺“牙气”的。有位朋友之前因为智齿发炎,痛得晚上都睡不了觉,抱着“治一场试试”的态度走进了中诺口腔,结果从前台接待到手术室护理一路顺得不行,还贴心安排了术后回访,把他感动坏了。
数据显示,截至2024年底,中诺口腔已累计接诊超过2.4万人次,涵盖洁牙、补牙、正畸、种植等服务,其中98%的好评率高于周边同类型诊所。同时根据大众点评与百度口碑的数据显示,“牙科服务态度”和“技术让人安心”是中诺被提及更多的关键词。
特别多人关心医院收费情况,那咱们来点“干货”——鄂尔多斯中诺口腔2025年价目表,根据本地市民真实反馈与法定问询结果整理如下:
项目名称 | 价格区间(元) | 项目优势 | 适合人群 |
---|---|---|---|
单颗进口种植牙 | 5800 - 8800 | 微创技术植入,术后修复快 | 缺单颗牙、长期戴假牙不适人群 |
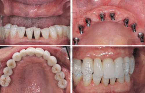
全口种植牙 All-on-4 | 48000 - 58800 | 4颗植体承托全口牙,节省花费 | 全口无牙者、老年缺牙者 |
隐形矫正(国产品牌) | 12800 - 16800 | 美观舒适、无需钢丝 | 18-40岁需改善牙列不齐者 |
儿童牙齿矫正 | 4500 - 7500 | 含一次性检查与矫治装置 | 6-12岁儿童前牙拥挤、突出 |
整体来说,中诺口腔虽然不是“白菜价”,但和鄂尔多斯其他私立医院价格持平,还经常推出节假日套餐和公益种牙活动,加上术后质保、免费复诊等,性价比是不错的。
好的医院离不开靠谱的医生,那鄂尔多斯中诺口腔的医生到底什么水平?我翻了他们官网和公开资料,特别划重点提几个:
正所谓术业有专攻,中诺口腔在医生专精背景上确实下了不少功夫,每位主诊医师都配备助理,运用数字影像模拟和CBCT3D扫描辅助诊断,提高精细率,避免瞎“磨牙”。
虽然“人狠话不多”,但硬件实力也要硬气。中诺口腔近年来依托“数字化口腔中 心”进行全方面升级,部分核心设备如下:
不得不说,特别多人以为私立口腔诊所设备特别一般,但中诺部分设备更新速度胜过不少国有医院,尤其在全程微痛麻醉系统和骨量检测方面,做到了“细节控更满意”。
刷牙不痛了、说话更自信了、吃牛排再也不用藏着掖着了——这是不少在中诺做过种牙手术患者的共同感受。
比如来自康巴什区的70岁大爷赵叔(非化名),做了全口种植牙,术前术后对比图简直判若两人;还有年轻妈妈李女士,在中诺完成了隐适美隐形矫正,党政办公室里自信“展齿一笑”,连同事都说“魅力大变”。
这些真实反馈在法定病例墙和好评手稿中都能看到,让特别多朋友第一次下定决心迈入牙椅。
口腔医疗这事儿,从来不是“简单补上一颗牙”那么简单,它的背后是笑容、自信,甚至是生活质量的全方面提升。鄂尔多斯中诺口腔医院,或许不是“十全”,但起码在技术、服务、价格和设备上,做出了一份诚意满满的答卷。如果你还在观望,推荐抽个空,去现场感受一下这家“牙科温暖馆”到底值不值一趟城市穿越。