当前位置:口腔久灵 > 口腔资讯 > 医院资讯 > 广州鼎植口腔医院是公立医院吗?是广州排名前十的正规私立医院种植牙很强

广州鼎植口腔医院是公立医院吗?是广州排名前十的正规私立医院种植牙很强

编辑:接化发
更新时间:2025-04-01 11:41:13
次浏览

广州鼎植口腔医院是公立医院吗?广州鼎植口腔医院是正规私立医院,非公立,资质齐全,口碑良好,常被评为广州前十口腔医院,擅长高难度种植牙,采用VIIV种植技术,成功几率高,深受患者信赖。医院提供个性化治疗方案和优质的就诊环境,获得了患者的高满意度和好评。

广州鼎植口腔医院是公立医院吗

一、广州鼎植口腔医院是公立医院吗?是广州排名前十的正规私立医院

广州鼎植口腔医院是一家专精的口腔医疗机构,因此它并不是公立医院,而是一家经过严格审批的正规私立医院。作为鼎植医生集团旗下的直营品牌,广州鼎植口腔自开设以来便致力于为患者提供高质量的口腔医疗服务。根据多项调查和患者反馈,鼎植口腔在广州地区的声誉和口碑都非常不错,常常被称为广州排名前十的口腔医院之一。

正规资质与专精团队

广州鼎植口腔医院经过广州市卫健委的审批,拥有合法的医疗执照和相关资质。医院的医生团队由多位拥有丰富临床经验的口腔骨干医生组成,他们不仅技术不错,还非常注重与患者的沟通,确保能够根据每位患者的口腔状况制定个性化的治疗方案。

医院环境与设施

医院的环境优雅舒适,配备有现代化的医疗设备,包括数字化X光机、全景牙片机等高端设备,为患者提供非常优质的就诊体验。无论是常规的口腔检查,还是复杂的种植牙、正畸治疗,患者都能够在一个安心、舒适的环境下得到专精的治疗。

广州鼎植口腔医院怎么样

二、广州鼎植口腔种植牙怎么样?

说到广州鼎植口腔,不得不提的就是他们在种植牙领域的出色表现。医院引入了多项精良的种植技术,受到许多患者的青睐。

VIIV种植技术

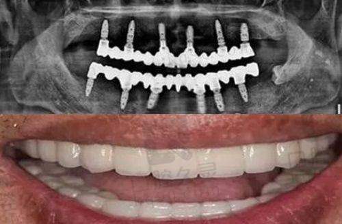
广州鼎植口腔尤其以其独特的VIIV种植技术驰名。这项技术是由鼎植医生团队与院士们合作研发的,能够有效解决牙槽骨缺失等复杂情况。通过这种技术,医生可以实现“穿颧种植”和“穿翼板种植”,大大提高种植的效率和成功几率,减少患者的痛苦。

个性化治疗方案

在广州鼎植口腔,每位患者都能获得量身定制的诊疗方案。医院会在术前进行详细的口腔检查,结合患者的具体需求和口腔条件,提供非常合适的治疗建议。这样的个性化服务,确保了患者在治疗过程中的舒适度和满意度。

患者反馈与口碑

许多患者在接受广州鼎植口腔的种植牙治疗后,都表示非常满意。有的患者甚至是在手术当天就能感受到明显的好转,这也让不少人愿意将广州鼎植口腔推荐给朋友和家人。患者的正面反馈和高评价,进一步证明了医院在种植牙领域的专精性和实力。

广州鼎植口腔种植牙怎么样

三、广州鼎植口腔医院地址

广州鼎植口腔医院的地址非常便利,位于广州市海珠区昌岗中路239号401铺,自编4F01铺及4F04铺

乘坐公交的患者可以选择180路、253路和273路,均可在华海大厦附近下车,步行几百米即可到达。

而地铁方面,乘坐2号线或8号线的朋友,可以从昌岗站D口出站,步行也只需280米。

广州鼎植口腔医院地址

四、广州鼎植口腔医院预约方式

在广州鼎植口腔医院就诊,预约流程非常简单,以下是几个主要的预约方式:

1. 在线预约

患者可以关注“广州鼎植口腔门诊部”的法定微信或支付宝服务号,进入法定账号后按照指引进入预约挂号栏目进行预约。

2. 电话预约

患者也可以拨打医院的电话进行预约挂号,医院的工作人员会根据您的需求安排合适的就诊时间。

3. 自助终端预约

患者在医院内可以使用自助终端机进行预约挂号,只需持预约卡进行操作,方便快捷。

4. 在线预约

可以直接在本文弹出的窗口进行在线预约,客服会为您提供详细指导。

广州鼎植口腔医院预约方式

广州鼎植口腔医院是公立医院吗?广州鼎植口腔医院是一家正规私立口腔医院,非公立医院,在广州口腔医院排名前十。医院以精良的VIIV种植技术驰名,拥有专精医疗团队,为患者提供个性化的口腔医疗服务,种植牙技术实力突出。

相关推荐:

口腔
* 总体评价:
* 内容 (必填,800字以内)
还能输入800
西安诺贝尔牙科正规不,资质正规收费合理!它是当地口碑佳、技术优的靠谱牙科机构
西安诺贝尔牙科正规不,资质正规收费合理!它是当地口碑佳、技术优的靠谱牙科机构
2025-10-08 14:16:02
深圳登特口腔官网简介透露啥秘密?背景、项目、设备、专家、服务都有
深圳登特口腔官网简介透露啥秘密?背景、项目、设备、专家、服务都有
2025-10-08 08:51:02
2025北京中诺口腔医院种植牙收费标准一览,单颗2980起,半口1.8w起
2025北京中诺口腔医院种植牙收费标准一览,单颗2980起,半口1.8w起
2025-10-07 14:09:02
常州美奥口腔收费价目表上新,种植牙、矫正、补牙拔牙价格多少钱?
常州美奥口腔收费价目表上新,种植牙、矫正、补牙拔牙价格多少钱?
2025-10-07 13:06:02
济宁美雅口腔诊所
济宁美雅口腔诊所
地址:山东省济宁市任城区唐国翠城2号
北海柏乐口腔门诊部
北海柏乐口腔门诊部
地址:广西壮族自治区北海市海城区西南大道中段1号恒昌城市丽景B幢商业裙楼0106号(宁春城对面)
蚌埠淮海口腔医院
蚌埠淮海口腔医院
地址:安徽省蚌埠市龙子湖区东风街道滨河御景小区3号商业107号(淮委医院向西200米)
松原博润口腔门诊部
松原博润口腔门诊部
地址:吉林省松原市宁江区临江街东镇国际城1幢110室
Copyright © 2022 口腔久灵. All rights reserved.