
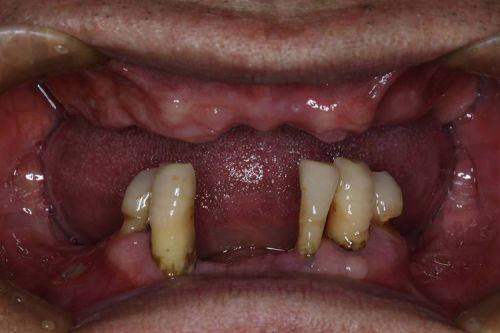
牙齿缺失对于我来说,就像原本完整的拼图缺了一块,不仅影响美观,更让我在饮食和交流时处处受限。在尝试了多种修复方式都不尽如人意后,我把目光投向了种植牙。经过一番在百度上的搜索和对比,我了解到南昌虹桥口腔医院在种植牙领域有着不错的口碑,于是决定前往一探究竟。今天,我就以自己的亲身经历,来和大家分享一下在南昌虹桥口腔医院种植牙的详细就诊过程、诊疗成效以及我的感受,希望能给同样有牙齿缺失困扰的朋友们一些参考。
在决定去南昌虹桥口腔医院之前,我心里其实还是有些忐忑的。毕竟种植牙是一个相对复杂的口腔手术,我担心医院的技术和医生的经验是否能够让我放心。为了打消疑虑,我在百度上进行了大量的搜索,发现南昌虹桥口腔医院是一家正规的口腔专科医院,拥有精良的医疗设备和专精的医疗团队。特别多患者在网上分享了他们在这家医院种植牙的成功实例,对医院的评价都非常高。而且,医院还引进了国内外精良的种植牙技术,这让我对在这里进行种植牙手术有了更多的信心。
我第一次走进南昌虹桥口腔医院,就被医院整洁明亮的环境所吸引。前台的工作人员非常热情,在了解我的需求后,快速为我安排了挂号和就诊。等待就诊的过程中,医院还提供了舒适的休息区域和免费的茶水,让我感到非常贴心。特别快,我就见到了为我接诊的医生。医生非常和蔼可亲,他详细地询问了我的病史和牙齿情况,然后为我进行了全方面的口腔检查。检查过程中,医生一边操作一边向我解释每一个步骤,让我对自己的牙齿状况有了更清晰的了解。
检查结束后,医生根据我的口腔情况和个人需求,为我制定了个性化的种植牙方案。他向我介绍了不同品牌和型号的种植体,并详细说明了它们的优缺点和适用情况。在选择种植体的过程中,医生没有强行推销,而是耐心地听取我的意见,根据我的经济状况和牙齿条件,为我推荐了更适合我的种植体。整个方案制定过程非常透明,让我对种植牙的费用、流程和预期成效都有了明确的了解。
确定好方案后,我就预约了种植牙手术。手术前,护士为我进行了口腔清洁和消毒,并向我讲解了手术的注意事项,让我放松心情。进入手术室后,医生再次和我确认了手术方案,并为我注射了局部麻醉药。整个手术过程中,我并没有感觉到明显的疼痛,只是偶尔能感觉到医生在操作。医生的技术非常娴熟,手术进行得特别顺利,不到一个小时就完成了。术后,医生还耐心地叮嘱了我一些护理事项,让我按时服药、注意口腔卫生。
手术后的几天,我的牙齿有些轻微的肿胀和疼痛,这都是正常的术后反应。按照医生的嘱咐,我按时服用消炎药,并用冰袋进行冷敷,肿胀和疼痛特别快就缓解了。在修复期间,医院的医生还会定期打电话回访我的修复情况,提醒我按时复诊。每次复诊时,医生都会仔细检查我的伤口愈合情况,并根据修复情况调整护理方案。经过一段时间的修复,我的种植牙已经和牙槽骨完全融合,牙齿的功能和美观都修复得非常好。
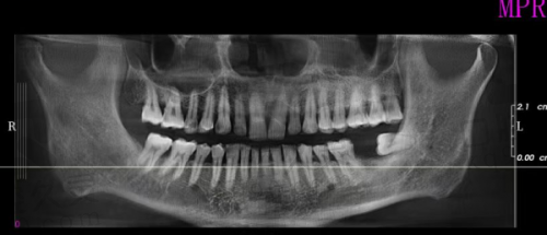
精良的技术设备:南昌虹桥口腔医院引进了国内外精良的种植牙技术和设备,如数字化口腔扫描系统、种植导航系统等。这些设备能够严谨地获取患者的口腔数据,为种植牙手术提供更精细的指导,提高手术的成功几率和安心性。
专精的医疗团队:医院拥有一支经验多、技术不错的医疗团队,他们都经过了专精的培训和考核,在种植牙领域有着丰富的临床经验。医生们会根据患者的具体情况,制定个性化的种植牙方案,确保每一位患者都能得到更适合自己的治疗。
优质的服务体验:医院注重患者的服务体验,从挂号、就诊到手术、复诊,每一个环节都有专人引导和服务。医院还提供了舒适的就诊环境和温馨的服务,让患者在轻松愉快的氛围中完成治疗。
现在,我的种植牙已经使用了一段时间,成效真的非常好。从外观上看,种植牙和我的天然牙齿几乎没有任何区别,非常美观。从功能上看,种植牙的咀嚼功能也修复得良好,我可以像以前一样正常地进食各种食物,再也不用担心牙齿缺失带来的不便。而且,种植牙非常稳固,不会像传统假牙那样出现松动或移位的情况。自从种了牙,我的自信心也提升了不少,再也不用因为牙齿问题而不敢开口笑了。
总的来说,在南昌虹桥口腔医院种植牙的经历让我非常满意。从更初的询问到更终的治疗,整个过程都非常顺利和舒心。医院的专精技术、优质服务和良好的诊疗成效都给我留下了深刻的印象。如果你也有牙齿缺失的困扰,不妨来南昌虹桥口腔医院了解一下种植牙,相信你也能在这里找到适合自己的解决方案,重拾健康美丽的牙齿。